Pune
08048037067

Please keep +91 or 0 before dialling the number.     Please keep +91 or 0 before dialling the number

+919850842695

Varad Dental Care

about-cover-bg image
About Varad Dental Clinic

The Best Doctor in pune

Need Trusted Second Opinion?

Not sure about your diagnosis or treatment plan? We're here to help.

Doctor's Profile Picture

DR ARJUN CHAVAN & DR HEMLATA CHAVAN

DR ARJUN CHAVAN & DR HEMLATA CHAVAN

BDS / MDS [REGI]
Pune

Speciality

IMPLANTOLOGIST AND ROOT CANAL SPECIALIST


Education

BDS / MDS [REGI]


Experience

18 years


Mobile

9850842695

Memberships

Registration No

A-11736

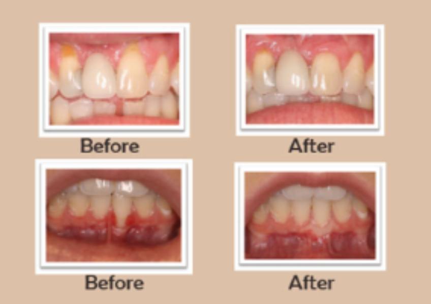
Image Gallery

Pictures That Speak

Testimonials
testimonial image

I recently had a dental implant done by Dr. Arjun Chavan, and I couldn’t be happier with the experience and results. Dr....

Read More
testimonial image

Great treatment and excellent care! Very professional and conservative approach. I’m truly happy with my experience here

testimonial image

I went to Varad Dental Clinic for braces treatment. From the first consultation itself, Dr. Arjun Chavan explained the e...

Read More